ナローインプラント
患者負担の少ない細いインプラント
通常のインプラントよりも細いインプラントは骨が薄い場合や歯と歯の間が狭すぎる場合に有効です。
骨が薄い場合のインプラント治療では、一般的にGBR(骨を作る処置)を行いますが、細い骨に合わせた細いインプラントを使用することで、GBRを少なくまたは回避できる可能性があります。
また、歯と歯の間が狭い場合にも有効です。
インプラントは細くなると強度が不足するため当院で使用しているナローインプラントはチタン合金を使用した強度の高いインプラントを使用しています。
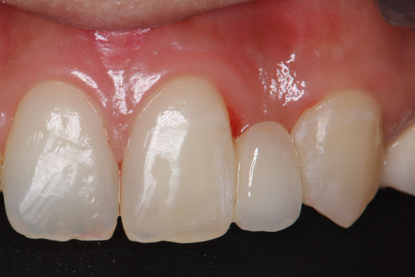
ナローインプラント症例
20代 男性
治療期間:3ヶ月
価格:64万円(税別)
- リスク
- GBRに比べ小さいが、外科処置を伴う
術前
歯と歯の隙間が小さいため通常のインプラントは埋め込めない
術後
細いインプラントを使用して歯を削らずに被せ物が入った
自家歯牙移植
かみ合わせに関与していない自分の歯を抜歯して歯のない部分に埋め込む方法を自家歯牙移植といいます。インプラントと違い自分の歯で無くなった歯を補うことが出来ます。
自家歯牙移植症例
40代 男性
治療期間:4ヶ月
保険診療
- リスク
- 抜歯する歯が移植に適さないことがある。時間が経つと根が吸収することがある
移植前
白い矢印の歯が折れているため抜歯をし、同時に赤い矢印の歯が斜めに生えているので抜いて移植をする。
移植後
親知らずを残しておいて将来に使用することが出来る可能性があります。しかし、斜めに生えている親知らずのような場合は残しておくことで手前の歯のむし歯や歯周病が進行しやすいので注意が必要です。
歯を削らないブリッジ
隣の歯が健全な状態で歯をなるべく削らないでブリッジにする方法です。
歯を削らないというメリットがありますが、接着剤の接着力だけでくっつけているため、かみ合わせの力が強くかかる場合やすでに歯が削られている場合は外れたり、壊れたりしやすいため注意が必要です。インプラントが埋め込めないくらい狭い間隔の場合に有効です。
歯を削らないブリッジの症例
30代 女性
治療期間:1ヶ月
価格:30万円(税別)
- リスク
- セラミックが外れる場合がある 歯がすでに削られている場合は適応できない
隣の歯の裏側に接着剤で貼り付けて固定しています。


治療前

隙間があいている
治療後

歯を削らずに裏から接着するブリッジを装着した