マイクロスコープを使用した精密歯科治療
マイクロスコープを使用することによって、肉眼では見ることの出来ない歯の細かい凹凸や、隠れた根管、補綴物のフィットの状態など様々なことが分かるので、診断能力が大幅に向上し、より精密な治療を行うことが出来ます。

CR(コンポジットレジン)
30代 女性
治療期間:1日
保険診療
- 治療内容
- 金属の詰め物を外してプラスチックの詰め物に変更しました。
- リスク
- 金属に比べプラスチックは柔らかいため、残っている歯が少ない場合や噛み合わせが悪い場合はかけやすいです。時間の経過で変色してしまいます。

治療前

治療後
CRとオールセラミッククラウン
50代 女性
治療期間:2週間、通院回数:2回
価格:CRは保険診療、オールセラミッククラウン 12万円(税別)
- 治療内容
- 赤矢印の歯はオールセラミッククラウン(フルジルコニア)、白矢印の3箇所はCRで治療しています。
赤矢印の歯(今回被せた歯)は、かみ合わせの状態により歯ぎしりした時に非常に力がかかり、欠けやすい部位です。
フルジルコニアクラウンは高い審美性と強度を有しております。 - リスク
- CRは金属に比べ柔らかいため、残っている歯が少ない場合や噛み合わせが悪い場合はかけやすいです。時間の経過で変色してしまいます。
オールセラミッククランは自由診療になります。また、歯ぎしりの強い人には使えないこともございます。

治療前

治療後
ラミネートベニア
ラミネートベニアは、歯の表面をうすく一層削り、その上にセラミックの膜をはり付ける方法です。
歯を削る量が最少で、術後にむし歯になりにくいことや、他の方法に比べ歯周病にもかかりづらいため、歯にやさしい方法といえます。

ラミネートベニア
20代 女性
治療期間:2週間、通院回数:2回
価格:1歯 12万円(この症例は2歯で24万円)(税別)
- 治療内容
- 前歯の色が気になるとのことでご来院です。
歯の表面の色がもともと変色しているためにホワイトニングでは白くならないケースだったため、歯を削る量を最小限にしたラミネートべニアで治療することにしました。 - リスク
- 歯を削らずに歯の表面のエナメル質に接着させるため、強固にくっつき比較的外れにくいですが、元々の噛み合わせが悪い場合はかける可能性があります。むし歯がある歯には適用できないことがあります。

術前

術後
部分矯正とラミネートベニアで前歯を改善
20代 女性
治療期間:4ヶ月
価格:部分矯正治療 15万円、ラミネートべニア 1歯 12万円(この症例は2歯で24万円)(税別)
- 治療内容
- 20代女性
前歯の2番目の歯が小さく、片側は内側に入っている部分的な矯正で裏側に入っている歯を前に出します。
歯の表面を削らずに付け爪のようなラミネートベニアで歯の形を変えます。
術後部分的な矯正とラミネートベニアで4ヶ月程度で改善しました。 - リスク
- 歯のスペースが極端に少ない場合は部分矯正では歯を移動させることが難しい場合があります。

術前

部分的な矯正で裏側に入っている歯を前に出す

ラミネートベニア
(小さい歯にセラミックを貼り付ける)

術後
オールセラミッククラウン
オールセラミックスは、全てセラミックスで作られるため、生体親和性が抜群に良いのが特徴です。
金属を使用しないため歯ぐきが黒くなりません。金属アレルギーの方にも安心して使っていただけます。
また、全ての部分が自分の歯の色と同じ色調になりますので、自然な美しさがよみがえります。

オールセラミッククラウン
20代 女性
治療期間:2ヶ月
価格:ホワイトニング 2万円、セラミッククラウン 1歯 12万円(この症例の場合は2歯で24万円)(税別)
- 治療内容
- 前歯の変色が気になるとのことで来院。左側は神経が死んでしまっているため変色しています。
まず、ホワイトニングを行い、全体の歯の色を白くすしました。
被せ物を入れるための準備として精密に歯を削り、セラミックの被せ物を入れました。 - リスク
- 神経のある歯を削る場合は削りすぎると神経へダメージを与える可能性があるため低年齢の患者様の場合は特に注意が必要です。

初診時

ホワイトニング後

型取り前の状態

治療後
前歯4歯の治療(インプラントとかぶせもの)
50代 女性
治療期間:6ヶ月
価格:インプラント 1歯 32万円(かぶせもの含む)、セラミッククラウン 1歯 12万円(この症例は3歯で36万円)(税別)
- 治療内容
- 前歯から膿が出ている、見た目を治してほしいとのことでご来院です。
右上1はインプラントで、他3歯はかぶせ治して治療しました。 - リスク
- インプラント治療のため外科処置を伴います。顎の骨が薄い、骨が弱い方はインプラント治療ができないこともあります。

治療前

治療前

治療後
セラミックインレー
強度の高い最新のセラミックスを使用します。セラミックスは色を合わすことができ、精度も高くつくれます。

30代 男性
治療期間:2週間、通院回数:2回
価格:1歯 6万円(この症例は2歯で12万円)(税別)
- 治療内容
- 数年前に入れたセラミックインレーがむし歯になり、かけてしまいました。古いインレーを外し強度の高いセラミックインレーを入れました。
- リスク
- 噛み合わせが悪い場合や歯ぎしりがある場合はかける可能性があります。

治療前

治療後

治療前

治療後:色も適合も良くなりました。
フルジルコニアクラウン
10代 女性
治療期間:2週間、通院回数:2回
価格:1歯 12万円(税別)
- 治療内容
- 金属アレルギーのため金属のかぶせ物をかえるよう皮膚科から依頼されました。
金を含むほとんどの歯科用金属にアレルギーがあったためオールセラミックスを検討するが 一番奥の歯で厚みがとれないため通常のセラミックでは割れやすいというリスクがありました。結果的にフルジルコニアクラウンを選択されました。 - リスク
- フルジルコニアクラウンは新しい素材のため色が他の歯と合わせにくいという欠点があるものの、金属を全く使わないでも強度があるためそのメリットは大きいです。
噛み合わせが悪い場合や歯ぎしりがある場合はかける可能性があります。

診断書:アルミニウム・金・すず・鉄・白金・パラジウム・銅・ニッケル・クロム・イリジウム・亜鉛・水銀とほとんど全ての歯科用金属にアレルギー反応が出ています。

治療前

治療後
セラミック修復(金属からセラミックへ)
30代 男性
治療期間:4週間、通院回数:4回
価格:オールセラミッククラウン 1歯 12万円、セラミックインレー 1歯 6万円(税別)
この症例は
上顎:オールセラミッククラウン 2歯 24万円、セラミックインレー 4歯 24万円
下顎:オールセラミッククラウン 2歯 24万円、セラミックインレー 3歯 18万円
合計:90万円(税別)
- 治療内容
- 歯の色と金属をきれいにしてほしいということで 前歯はホワイトニング、奥歯はセラミック修復を行いました。高強度セラミックを使用しました。
- リスク
- 噛み合わせが悪い場合や歯ぎしりがある場合はかける可能性があります。

治療前

治療後

治療前

治療後

治療前

治療後
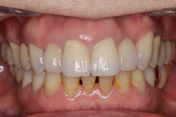
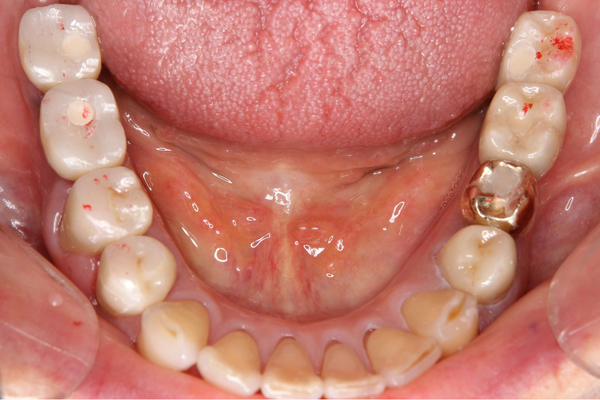
かぶせものの修復とかみ合わせ治療
70代 女性
治療期間:1年
価格:インプラント 1歯 32万円(かぶせもの含む)、セラミッククラウン 1歯 12万円
この症例は
インプラント 13歯 416万円、セラミックインレー 8歯 96万円
合計:512万円(税別)
- 治療内容
- 上下の歯のかぶせものがむし歯になっていたり歯周病になっていたりしていましたので全体的にかみ合わせも含めて治療しました。
治療前後のかみ合わせのデータをみるとよくかめるようになりました。
かむ力が3倍にあがっています。 - リスク
- 噛み合わせが悪い場合や歯ぎしりがある場合はかける可能性があります。

治療前

治療後

治療前

治療後

治療前

治療後
かみ合わせデータ

治療前

治療後